올세라믹이란?
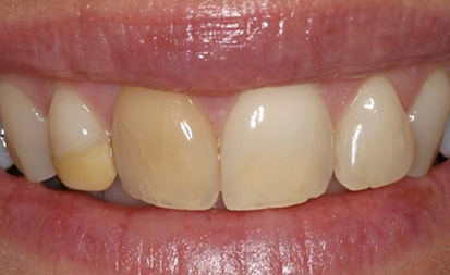
앞니가 깨지거나 심하게 변색, 돌출되었을 때 또는 치아 전체를 씌워야 할 경우, 또 라미네이트로 치료하기에 불충분하여 치아의 배열상 더 많은 성형을 요구 할 경우 자연스러운 치아의 외형을 회복하는 시술법입니다.
[시술전]

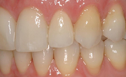
[시술후]
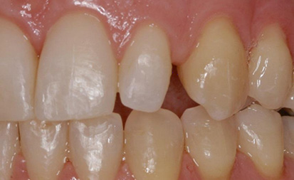
[시술전]

[시술후]
올세라믹 시술대상
1. 앞니에 오래된 보철물로 잇몸이 변색되었거나 잇몸 모양이 변한 경우
2. 치아가 부러지거나 깨진 경우
3. 치아의 위치가 심하게 삐뚤어지거나 울퉁불퉁한 경우
4. 신경치료를 받은 앞니가 변색이 된 경우
지르코니아 올세라믹 크라운
지르코니아는 천연 세라믹을 가공 후 고온에서 열처리를 한 것으로서, 뛰어난 물성과 심미성을 가진 생체 친화적인 소재이며 차세대 보철 재료로서 각광받고 있는 물질입니다.
춘천연세하루치과의 올세라믹 크라운
춘천연세하루치과에서는 cerec CAD- CAM을 이용하여 지르코니아 올세라믹 크라운을 자체 제작하고 있습니다.



올세라믹( All Ceramic) 크라운
내 치아와 같은 완벽한 color를 재현,
심미적이고 자연치아와 유사한 치아,
자연스러운 치아의 외형을 회복하는 시술!